HBP
Hepato-Biliary-Pancreatic

  • - 조영 증강된 CT image를 기반으로 MRI image를 fusion하여 Liver 및 Blood vessel region 등을 3D로 재구성하고 결과를 관찰할 수 있습니다.
  • - SPECT image를 활용하여 각 region 별 검출률을 확인할 수 있습니다.
  • - 수동 및 자동으로 Lobe, Segment 및 임의의 territory를 분리할 수 있으며, 분리한 Region의 절제면, 절제면에서의 Vessel 관찰 및 territory의 volume 등을 측정할 수 있습니다.
  • - 3D로 재구성 된 복합적인 장기들을 Laparascopic view로 관찰할 수 있습니다.

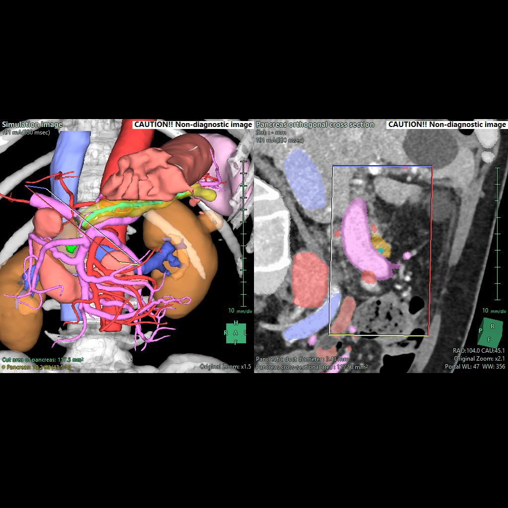
  • - 조영 증강된 CT image를 사용하여 Pancreas, Vessel 및 주변 장기 등을 3D로 재구성하고 관찰할 수 있습니다.
  • - Pancreatic duct를 따라 절단면을 설정하여 Remnant pancreas volume 등을 측정할 수 있으며, 절단면에서의 Pancreatic duct의 위치를 관찰하고 diameter를 측정할 수 있습니다.
  • - 3D로 재구성 된 복합적인 장기들을 Laparasopic view로 관찰할 수 있습니다.
Cut plane view
Drainage area map
Liver 3D
Endoscopic view
Patial Resection
Region segmentation
Segmentation
SPECT fusion
Liver rendering
Various view
Sector MPR